модуль 5 патан

Додано: 9 квітня 2025
Предмет: Я досліджую світ, 11 клас
96 запитань
Запитання 1

с

варіанти відповідей

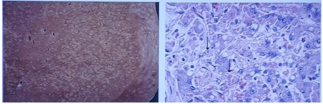
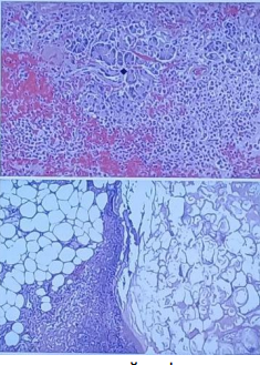
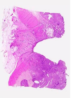
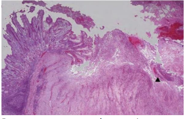
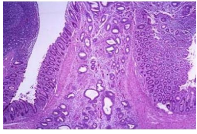
Гострий апендицит 

м

с

ч

Запитання 2

с

варіанти відповідей

Гострий апендицит 

м

и

ть

Запитання 3

м

варіанти відповідей

Гострий апендицит

и

т

ь

Запитання 4

с

варіанти відповідей

Аденокарцинома (у шлунку – перснеподібний рак)

с

м

и

Запитання 5

с

варіанти відповідей

Аденокарцинома (у шлунку – перснеподібний рак)

с

м

и

Запитання 6

ч

варіанти відповідей

Аденокарцинома (у шлунку – перснеподібний рак)

с

м

и

Запитання 7

с

варіанти відповідей

Аденокарцинома

п

о

д

Запитання 8

Блюдцеподібний рак шлунка

варіанти відповідей

Блюдцеподібний рак шлунка

с

м

и

Запитання 9

с

варіанти відповідей

Аденома

с

м

и

Запитання 10

в

варіанти відповідей

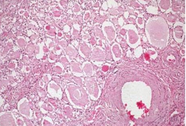
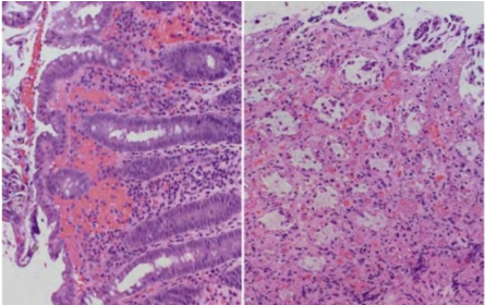
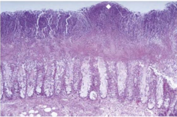
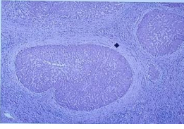
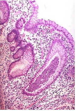
Неспецифічний виразковий коліт

с

м

и

Запитання 11

с

варіанти відповідей

няк

ч

с

м

Запитання 12

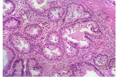
с

варіанти відповідей

няк

с

м

т

Запитання 13

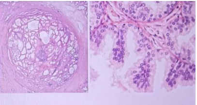
п

варіанти відповідей

няк

с

м

т

Запитання 14

с

варіанти відповідей

Хвороба Крона

с

м

и

Запитання 15

с

варіанти відповідей

Хвороба Крона

с

м

и

Запитання 16

в

варіанти відповідей

крона

с

м

и

Запитання 17

м

варіанти відповідей

Псевдомембранозний коліт

с

м

и

Запитання 18

ч

варіанти відповідей

Псевдомембранозний коліт

с

м

и

Запитання 19

м

варіанти відповідей

ішем кишк

с

м

т

Запитання 20

с

варіанти відповідей

Хронічна виразка

с

м

и

Запитання 21

с

варіанти відповідей

виразка

ч

с

м

Запитання 22

м

варіанти відповідей

виразка

ч

с

и

Запитання 23

с

варіанти відповідей

Гелікобактер пілорі 

см

и

ь

Запитання 24

у

варіанти відповідей

хрон гастрит

в

а

п

Запитання 25

а

варіанти відповідей

гастріт

м

ит

и

Запитання 26

с

варіанти відповідей

Стравохід Баретта

с

м

и

Запитання 27

с

варіанти відповідей

Стравохід Баретта

с

м

и

Запитання 28

а

варіанти відповідей

Розширення стравохідних вен

с

м

и

Запитання 29

с

варіанти відповідей

Хронічний виразковий коліт

с

м

и

Запитання 30

м

варіанти відповідей

Хронічний виразковий коліт

с

м

и

Запитання 31

п

варіанти відповідей

аденоматозні поліпи шлунка

а

п

р

Запитання 32

с

варіанти відповідей

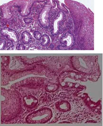
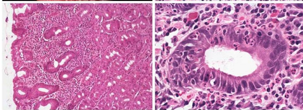
Причини: спадкові мутації, спорадичні мутації, хронічне запалення. Морфологічні зміни: Множинні аденоматозні поліпи, різна форма/розмір, дисплазія. Наслідки: рак шлунка, кровотечі, обструкція, анемія, мальабсорбція.

с

м

и

Запитання 33

с

варіанти відповідей

Гіперпластичний поліп шлунка

с

м

и

Запитання 34

а

варіанти відповідей

аденокарцинома пз

с

м

и

Запитання 35

с

варіанти відповідей

аденокарцинома пз

м

и

т

Запитання 36

м

варіанти відповідей

хрон панкреатит

м

и

т

Запитання 37

м

варіанти відповідей

Гострий панкреатит

с

м

и

Запитання 38

а

варіанти відповідей

гостр панкреатит і панкреонекроз

с

и

м

Запитання 39

а

варіанти відповідей

гостр панкреатит і панкреонекроз

с

м

и

Запитання 40

с

варіанти відповідей

Біліарний цироз

с

м

и

Запитання 41

с

варіанти відповідей

Біліарний цироз

м

и

т

Запитання 42

фф

варіанти відповідей

первин бфлфар цироз

с

і

іф

Запитання 43

ів

Запитання 44

ів

варіанти відповідей

превин біліар цироз

ч

с

м

Запитання 45

в

варіанти відповідей

Алкогольний цироз

с

м

и

Запитання 46

чс

варіанти відповідей

Алкогольний цироз

чм

ям

яв

Запитання 47

фвів

варіанти відповідей

алкоголь ураж

і

вф

вффв

Запитання 48

а

варіанти відповідей

дрібновузликовий цироз

в

ів

іфіф

Запитання 49

мф

варіанти відповідей

мікро-/макронодулярний)

с

м

мв

Запитання 50

імвім

варіанти відповідей

Токсична дистрофія печінки

сяч

імв

імвмв

Запитання 51

вім

варіанти відповідей

Токсична дистрофія печінки

с

м

мв

Запитання 52

іма

варіанти відповідей

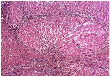
Гепато-целюлярна карцинома

с

м

аі

Запитання 53

і

варіанти відповідей

Гепато-целюлярна карцинома

с

м

и

Запитання 54

мві

варіанти відповідей

Вірусний гепатит С

вм

м

вім

Запитання 55

іммі

варіанти відповідей

Вірусний гепатит С

с

счя

мівм

Запитання 56

фа

варіанти відповідей

Гострий вірусний гепатит В, фульмінантний гепатит

с

іс

фіс

Запитання 57

вммі

варіанти відповідей

Гострий вірусний гепатит В, фульмінантний гепатит

сч

сфвсімі

ім

Запитання 58

івм

варіанти відповідей


Гострий вірусний гепатит В, фульмінантний гепатит

сч

мв

мі

Запитання 59

ау

варіанти відповідей

гостр віркс гепатит

ва

фіва

цуа

Запитання 60

ММІ

варіанти відповідей

хрон віркс гепатиит

ваі

ВВІА

МАМІФ

Запитання 61

ІЖМЛЬ

варіанти відповідей

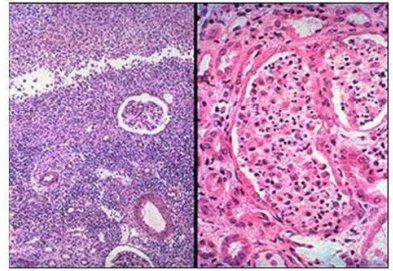
Тубулоінтестинальний нефрит

МВІЬВД

ІМЖДЛЬ

ІЛТЛВЬ

Запитання 62

ІМВ

варіанти відповідей

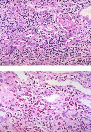
Гострий тубулярний некроз внаслідок шоку

СЧ

ЯМС

МВІ

Запитання 63

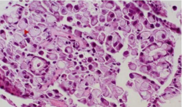
СЧ

варіанти відповідей

Гострий тубулярний некроз внаслідок шоку

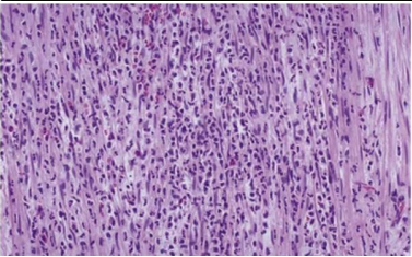
Гостра ниркова недостатність ототожнюється з некротичним нефрозом (некронефроз). Причини: шок, отруєння. Морфологічні зміни: Редукований кровообіг в нирках призводить до прогресуючої ішемії кіркового шару і порушення ниркового лімфотоку з послідовним розвитком набряку інтерстицію. У зв'язку з цим розвивається тубулорексис, канальцева обструкція і прогресуючий набряк інтерстицію є основними причинами зростання внутрішньониркового тиску, який посилює тканинну гіпоксію та аноксію. Наслідки: часткове відновлення; гостра ниркова недостатність.

ВМ

вмвм

ВМІ

Запитання 64

МВ

варіанти відповідей

ХРОН НИРК НЕДОСТАТ

ЯС

ІМІ

МІМ

Запитання 65

амив

варіанти відповідей

Хронічний пієлонефрит

івів

аім

вамв

Запитання 66

іма

варіанти відповідей

Хронічний пієлонефрит

свсв

мів

амам

Запитання 67

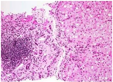
імв

варіанти відповідей

Хронічний гнійний пієлонефрит 

счя

вм

іам

Запитання 68

іва

варіанти відповідей

поліквстоз

ва

іва

іа

Запитання 69

ів

варіанти відповідей

Гострий пієлонефрит, папілярний некроз кіркового шару

чі

смфв

м

Запитання 70

ячм

варіанти відповідей

Гострий пієлонефрит, папілярний некроз кіркового шару

фм

фвмф

мв

Запитання 71

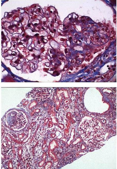
івм

варіанти відповідей

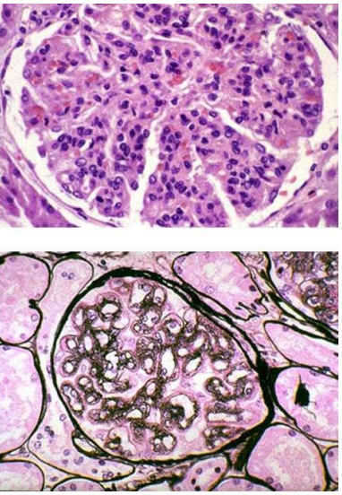
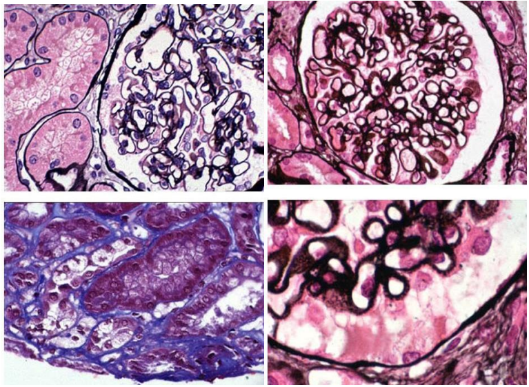
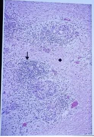
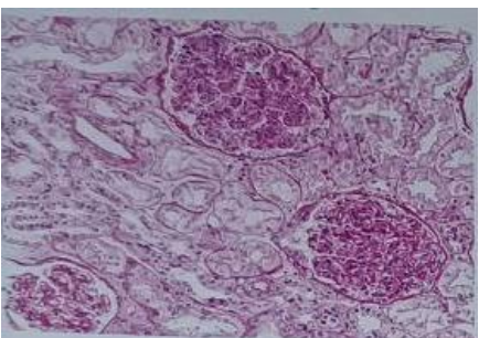
Півмісяцевий гломерулонефрит

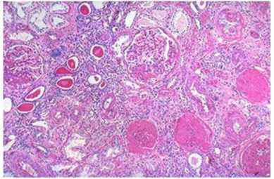
Підгострий гломерулонефрит розвивається при пошкодженні ниркових клубочків як циркулюючими імунними комплексами, так і антитілами. Перебігає він швидко (швидкопрогресуючий гломерулонефрит); незабаром виникає ниркова недостатність. Для цієї форми захворювання властивий екстракапілярний продуктивний гломерулонефрит. Внаслідок проліферації епітелію капсули (нефротелію), подоцитів та макрофагів з'являються півмісяцеві утворення («півмісяці»), які здавлюють клубочок. Капілярні петлі підлягають некрозу, в просвіті їх утворюються фібринові тромби. Кірковий шар з червоним крапом і добре відмежований від темно-червоної мозкової речовини (велика пістрява нирка), або червоний та сполучається з повнокровними пірамідами (велика червона нирка). Причини: аутоімунний васкуліт – спадковість, інфекції, туляремія, ревматизм. Наслідки: склероз та гіаліноз клубочків, атрофія канальців і фіброз строми нирок; уремія, гостра ниркова недостатність, смерть.

ячсм

вм

вім

Запитання 72

сс

варіанти відповідей

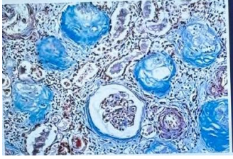
Нефросклероз при хронічному гломерулонефриті

і

імі

с

Запитання 73

чя

варіанти відповідей

Гострий постінфекційний гломерулонефрит 

счс

чм

чмя

Запитання 74

мм

варіанти відповідей

Хронічний гломерулонефрит

с

мм

мммм

Запитання 75

вм

варіанти відповідей

Хронічний гломерулонефрит

счя

ямв

вм

Запитання 76

імв

варіанти відповідей

Мембранопроліферативний гломерулонефрит

счс

свм

імв

Запитання 77

вм

варіанти відповідей

Фокальний сегментарний гломерулосклероз (рання і пізня стадія)

с

вм

м

Запитання 78

вм

варіанти відповідей

Нефротичний синдром (нефропатія з мінімальними змінами, хвороба мінімальних змін)

см

м

ммм

Запитання 79

вм

варіанти відповідей

Позаматкова вагітність в трубі

с

мм

м

Запитання 80

Причини: ретроградна менструація, метаплазія, імплантація, генетика, імунні порушення, гормональні фактори. Морфологічні зміни: Ектопічні вогнища ендометрія (залози/строма), локалізація (яєчники, труби, очеревина, зв'язки, рідко інші органи), циклічні зміни, крововиливи у вогнищах, фіброз/спайки, запальна реакція, ангіогенез. Наслідки: дисменорея, безпліддя, нерегулярні менструації, кровомазання, рак яєчників, спайкова хвороба

варіанти відповідей

Ендометріоз

в

фвф

вам

Запитання 81

вм

варіанти відповідей

Ендометріоз

імв

івм

мві

Запитання 82

ім

варіанти відповідей


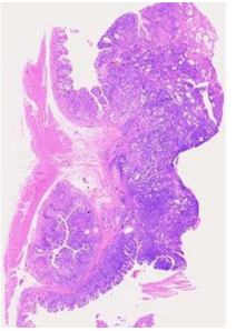
Вузликова гіперплазія простати

ясі

вм

івм

Запитання 83

вм

варіанти відповідей

Вузликова гіперплазія простати

вмі

івм

мі

Запитання 84

фмвв

варіанти відповідей

Вузликова гіперплазія простати

чс

вм

фм

Запитання 85

м

варіанти відповідей

Тиреоїдит Хашимото

чя

мв

мввм

Запитання 86

івмм

варіанти відповідей

Хоріонкарцинома

чс

мя

м

Запитання 87

імв

варіанти відповідей

Гіперплазія ендометрія

івм

івмі

вм

Запитання 88

іиа

варіанти відповідей

Лейоміома матки

івмі

авмиі

аи

Запитання 89

вео

варіанти відповідей

Фіброаденома молочної залози 

а

врв

р

Запитання 90

вм

варіанти відповідей

Фіброаденома молочної залози 

чся

миа

иа

Запитання 91

іи

варіанти відповідей

Дифузний токсичний зоб

вм

в

ви

Запитання 92

явмя

варіанти відповідей

Дифузний токсичний зоб

и

ви

аир

Запитання 93

ЧМ

варіанти відповідей

Дифузний токсичний зоб

явм

вич

аи

Запитання 94

яив

варіанти відповідей

Пухирний занесок 

ясч

ямв

яви

Запитання 95

вр

варіанти відповідей

світлокліт рак нирки

ви

пть

р

Запитання 96

рве

варіанти відповідей

світлокліт рак нирки

ави

арвпат

о

Створюйте онлайн-тести
для контролю знань і залучення учнів
до активної роботи у класі та вдома

Створити тест