Тема. Скелет тулуба та кінцівок

Додано: 11 лютого 2021
Предмет:
Тест виконано: 709 разів
80 запитань
Запитання 1

РОЗПІЗНАЙТЕ ОРГАНИ У ФРОНТАЛЬНІЙ ПЛОЩИНІ.

варіанти відповідей
Запитання 2

ЯК ПОЗНАЧЕНА ЧАСТИНА КІСТКИ ЩО МІСТИТЬ СТОВБУРОВІ КЛІТИНИ?

варіанти відповідей

1

2

4

3

ГУБЧАСТА РЕЧОВИНА

КІСТКОВИЙ КАНАЛ

КОМПАКТНА РЕЧОВИНА

Запитання 3

ЯК НАЗИВАЄТЬСЯ ЦЯ КІСТКА?

варіанти відповідей

FIBULA

TIBIA

HUMERUS

RADIUS

ULNA

CLAVICULA

STERNUM

FEMUR

Запитання 4

ЯКИЙ ЕЛЕМЕНТ КІСТОК ЩО У ЛЮДЕЙ ПОХИЛОГО ВІКУ РУЙНУЄТЬСЯ І ВОНИ ПОЧИНАЮТЬ СКАРЖИТИСЯ НА БОЛІ В СУГЛОБАХ?

варіанти відповідей

ВОЛОКНИСТИЙ ХРЯЩ

ГУБЧАСТА РЕЧОВИНА

КОМПАКТНА РЕЧОВИНА

ОКІСТЯ

ГІАЛІНОВИЙ ХРЯЩ

ЕЛАСТИЧНИЙ ХРЯЩ

ХРЯЩІ

КІСТКИ

Запитання 5

ПО ЯКОМУ КРАЮ РЕБРА ПРОХОДИТЬ МІЖРЕБРОВИЙ СУДИННО-НЕРВОВИЙ ПУЧОК ?

варіанти відповідей

ПЕРЕДНЬОМУ КРАЮ РЕБРА

ЗАДНЬОМУ КРАЮ РЕБРА

ВЕРХНЬОМУ КРАЮ РЕБРА

НИЖНЬОМУ КРАЮ РЕБРА

Запитання 6

ЩО ПОЗНАЧЕНО ЧЕРВОНИМ КОЛЬОРОМ?

варіанти відповідей

ПРАВА ТА ЛІВА РЕБРОВІ ДУГИ

STERNUM

СПРАВЖНІ РЕБРА

ПІДГРУДНИННИЙ КУТ

НЕСПРАВЖНІ РЕБРА

ПІДРЕБРОВИЙ КУТ

СУБКОСТАЛЬНИЙ КУТ

СУБСТЕРНАЛЬНИЙ КУТ

Запитання 7

БОЛИТЬ НИЖНЯ КІНЦІВКА. ЧЕРЕЗ ЯКІ ОТВОРИ І ЯКОГО ВІДДІЛУ ХРЕБТА МОЖУТЬ ВИХОДИТИ НЕРВИ?

варіанти відповідей

ТОРАКАЛЬНОГО ВІДДІЛУ ХРЕБТА

ЦЕРВІКАЛЬНОГО ВІДДІЛУ ХРЕБТА

ЛЮМБАЛЬНОГО ВІДДІЛУ ХРЕБТА

ПОПЕРЕКОВОГО ВІДДІЛУ ХРЕБТА

КРИЖОВОГО ВІДДІЛУ ХРЕБТА

САКРАЛЬНОГО ВІДДІЛУ ХРЕБТА

МІЖХРЕБЦЕВІ БІЧНІ ОТВОРИ ХРЕБТА

МІЖХРЕБЦЕВІ БІЧНІ ОТВОРИ ХРЕБЦІВ

Запитання 8

ВЕРХІВКУ ЛЕГЕНЬ ПОТРІБНО ВИСЛУХОВУВАТИ ВИЩЕ І РЕБРА (ВОНО МАЙЖЕ НЕРУХОМЕ ПІД ЧАС ДИХАННЯ). З ЧИМ ПОВ'ЯЗАНА НЕЗНАЧНА РУХЛИВІСТЬ 1-ГО РЕБРА?

варіанти відповідей

І РЕБРО З'ЄДНАНЕ НЕРУХОМО З COLUMNA VERTEBRALIS

І РЕБРО НЕ З'ЄДНАНЕ ІЗ STERNUM

І РЕБРО ПРИТИСНУТЕ SCAPULA

І РЕБРО ПРИТИСНУТЕ CLAVICULA

І РЕБРО З'ЄДНАНЕ НЕРУХОМО З ЦЕРВІКАЛЬНИМИ ХРЕБЦЯМИ

І РЕБРО З'ЄДНАНЕ ІЗ STERNUM

І РЕБРО З'ЄДНАНЕ ІЗ ЦЕРВІКАЛЬНИМ ХРЕБЦЕМ

Запитання 9

ПІСЛЯ АВТОМОБІЛЬНОЇ АВАРІЇ НА РЕНТГЕНОГРАМІ ВИЯВЛЕНО ПЕРЕЛОМ КІСТКИ В ДІЛЯНЦІ ХІРУРГІЧНОЇ ШИЙКИ. ЯКА КІСТКА МАЄ ТАКУ ШИЙКУ?

варіанти відповідей
Запитання 10

ЯКОЮ БУКВОЮ ПОЗНАЧЕНА РЕБРОВА ПОВЕРХНЯ ЛОПАТКИ? ЦЕ ПРАВА ЧИ ЛІВА ЛОПАТКА?

варіанти відповідей

А

В

Б

ПРАВА ЛОПАТКА

ЛІВА ЛОПАТКА

Запитання 11

РОЗПІЗНАЙТЕ ДОДАТКОВІ ЕЛЕМЕНТИ ЦЬОГО СПОЛУЧЕННЯ.

варіанти відповідей

ДИСКИ

МЕНІСКИ

СУМКИ

БУРСИ

ЗВ'ЯЗКИ

Запитання 12

ДЕ САМЕ ПРИЛЯГАЄ ПІДКЛЮЧИЧНА ВЕНА? ВАЖЛИВО ЗНАТИ ДЕ СТАВИТИ КАТЕТЕР (РОБИТИ ПУНКЦІЮ ПІДКЛЮЧИЧНОЇ ВЕНИ ДЛЯ ВНУТРІШНЬОВЕННИХ МАНІПУЛЯЦІЙ).

варіанти відповідей

І РЕБРО

ІІ РЕБРО

2

3

7

НЕ ПОЗНАЧЕНО

І

ІІ

Запитання 13

ЯК НАЗИВАЄТЬСЯ ПУНКЦІЯ З МЕТОЮ ТРАНСПЛАНТАЦІЇ ЧЕРВОНОГО КІСТКОВОГО МОЗКУ? (ВСІ ПЕРЕРАХОВАНІ ПУНКЦІЇ ПРОВОДЯТЬСЯ В КЛІНІКАХ)

варіанти відповідей

ЛЮМБАЛЬНА ПУНКЦІЯ

ПЛЕВРАЛЬНА ПУНКЦІЯ

СТЕРНАЛЬНА ПУНКЦІЯ

ТОРАКАЛЬНА ПУНКЦІЯ

ВЕРТЕБРАЛЬНА ПУНКЦІЯ

Запитання 14

ЯКІ СПОЛУЧЕННЯ КІСТОК ЗАБЕЗПЕЧУЮТЬ ПРОЦЕС ДИХАННЯ?

варіанти відповідей

РУХОМЕ СПОЛУЧЕННЯ РЕБЕР З ГРУДНИНОЮ

РУХОМЕ СПОЛУЧЕННЯ РЕБЕР З ХРЕБЦЯМИ

РУХОМЕ СПОЛУЧЕННЯ РЕБЕР З ГРУДНИНОЮ СУГЛОБАМИ

НАПІВРУХОМЕ СПОЛУЧЕННЯ РЕБЕР З ГРУДНИНОЮ

СПОЛУЧЕННЯ РЕБЕР З ГРУДНИНОЮ СУГЛОБАМИ

НАПІВРУХОМЕ СПОЛУЧЕННЯ РЕБЕР З ХРЕБЦЯМИ

СПОЛУЧЕННЯ РЕБЕР З ХРЕБЦЯМИ СУГЛОБАМИ

РУХОМЕ СПОЛУЧЕННЯ РЕБЕР З ГРУДНИНОЮ ХРЯЩАМИ

Запитання 15

ЯКІ ВІДРОСТКИ ХРЕБЦІВ СПОЛУЧАЮТЬСЯ МІЖ СОБОЮ, УТВОРЮЮЧИ ХРЕБТОВИЙ СТОВП?

варіанти відповідей

2 ОСТИСТІ

2 ПОПЕРЕЧНІ

2 ВЕРХНІ МІЖ СОБОЮ

2 НИЖНІ МІЖ СОБОЮ

2 НИЖНІ

2 ВЕРХНІ

2 ВЕРХНІ З 2 НИЖНІМИ

2 НИЖНІ З 2 ВЕРХНІМИ

Запитання 16

РОЗПІЗНАЙТЕ КІСТКУ ТА ЇЇ ЧАСТИНУ, ЯКУ ВИ ЛЕГКО МОЖЕТЕ ПРОПАЛЬПУВАТИ У СЕБЕ.

варіанти відповідей

FIBULA

TIBIA

ПЕРЕДНІЙ ГОСТРИЙ КРАЙ

12

13

ГОРБИСТІСТЬ

МЕДІАЛЬНА КІСТОЧКА

ГОЛОВКА

Запитання 17

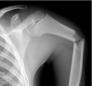
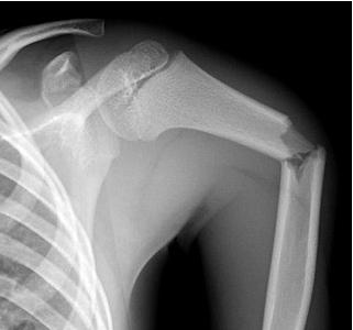
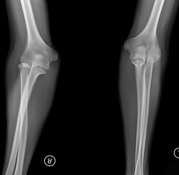
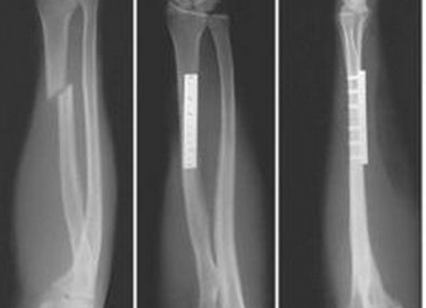
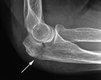
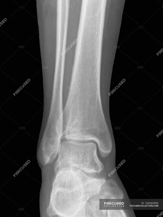
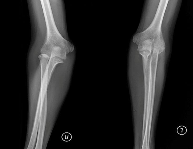
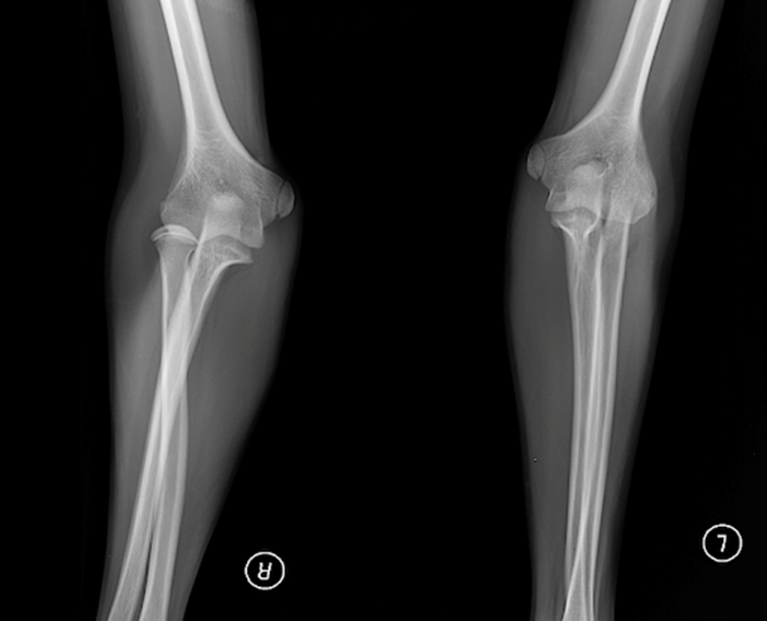
ПЕРЕЛОМ ЯКОЇ КІСТКИ І ЯКОЇ ЇЇ ЧАСТИНИ ВИ БАЧИТЕ НА РИСУНКУ?

варіанти відповідей

ДИСТАЛЬНОГО ДІАФІЗА

HUMERUS

ULNA

RADIUS

ПРОКСИМАЛЬНОГО ЕПІФІЗА

ДИСТАЛЬНОГО ЕПІФІЗА

ДІАФІЗА

МЕТАФІЗА

Запитання 18

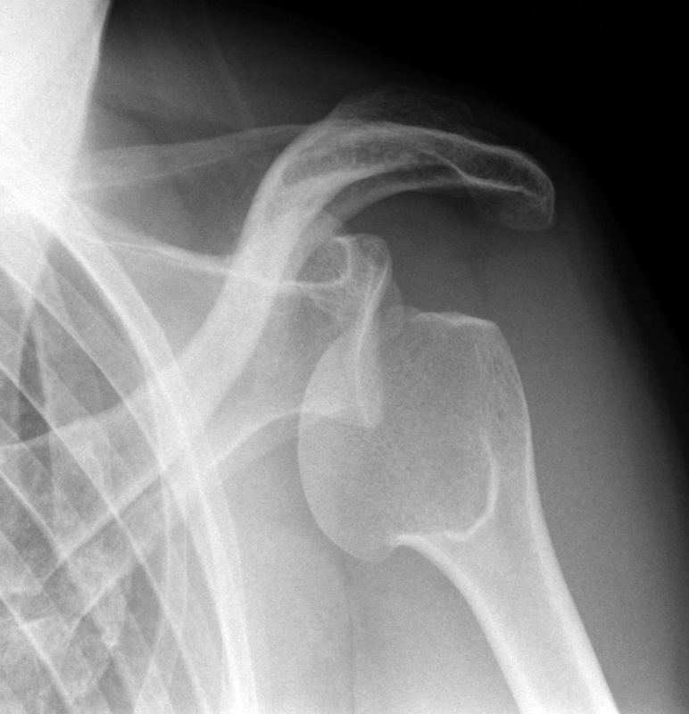
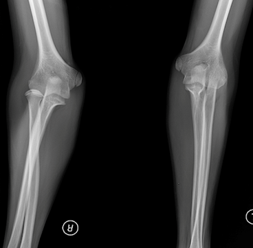
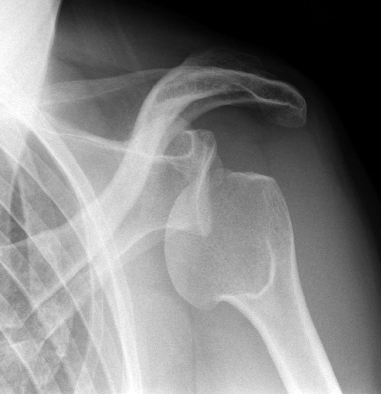
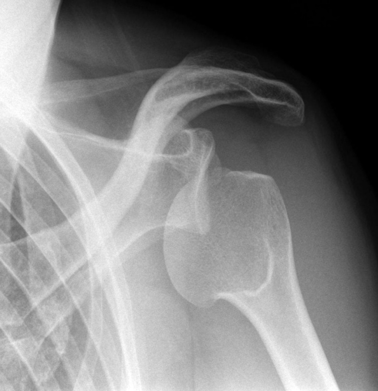
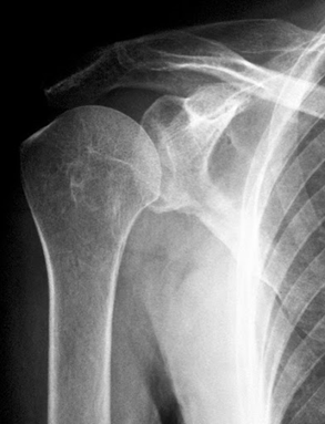
РОЗПІЗНАЙТЕ НА РЕНТГЕНОГРАМІ СУГЛОБ, ЩО МАЄ МІЛКУ СУГЛОБОВУ ЗАПАДИНУ І СКРІПЛЕНИЙ ПЕРЕВАЖНО М'ЯЗАМИ, ТОМУ ТУТ ВІДНОСНО ЧАСТО БУВАЮТЬ ВИВИХИ.

варіанти відповідей
Запитання 19

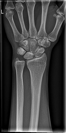
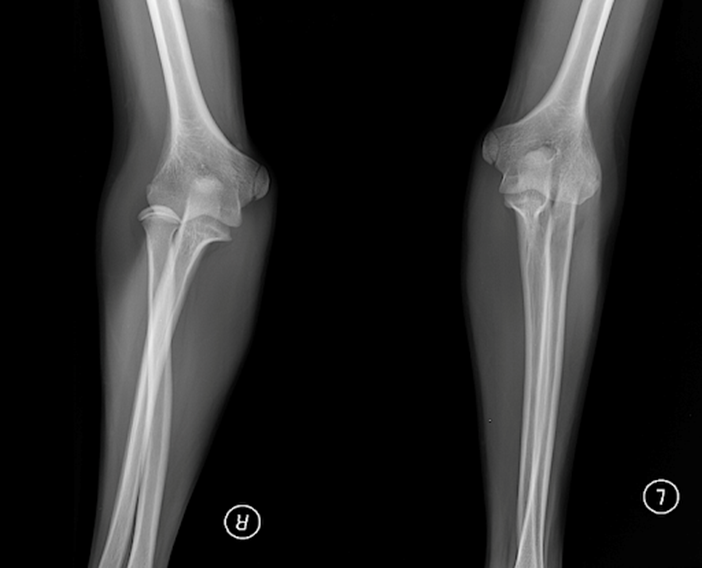
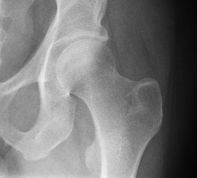
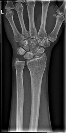
РОЗПІЗНАЙТЕ КІСТКУ. ПЕРЕЛОМ ЯКОЇ ЇЇ ЧАСТИНИ ВИ БАЧИТЕ НА РЕНТГЕНОГРАМІ?

варіанти відповідей

ULNA

RADIUS

FEMUR, ШИЙКА

ПРОКСИМАЛЬНОГО ЕПІФІЗА

ДИСТАЛЬНОГО ЕПІФІЗА

ДІАФІЗА

ЛІКТЬОВОГО ВІДРОСТКА

ПРОМЕНЕВОГО ВІДРОСТКА

Запитання 20

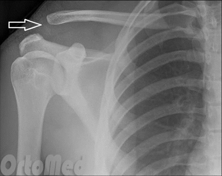
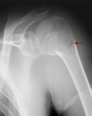
НА ЯКИЙ СУГЛОБ ВКАЗУЄ СТРІЛКА НА РЕНТГЕНОГРАМІ? КІСТКИ ЯКОГО ВІДДІЛУ СКЕЛЕТУ ВІН З'ЄДНУЄ?

варіанти відповідей

ГРУДНИННО-КЛЮЧИЧНИЙ С.

ПЛЕЧОВИЙ С.

НАДПЛЕЧОВО-КЛЮЧИЧНИЙ С.

АКРОМІАЛЬНО-КЛЮЧИЧНИЙ С.

КІСТКИ ВЕРХНЬОЇ КІНЦІВКИ

КІСТКИ ТУЛУБА І ВЕРХНЬОЇ КІНЦІВКИ

Запитання 21

РОЗПІЗНАЙТЕ НА РЕНТГЕНОГРАМІ СУГЛОБ, ЩО СКЛАДАЄТЬСЯ З ТРЬОХ СУГЛОБІВ, ЯКІ МАЮТЬ СПІЛЬНУ КАПСУЛУ.

варіанти відповідей
Запитання 22

РОЗПІЗНАЙТЕ СПОЛУЧЕННЯ КІСТОК НА БОЛІ В ЯКИХ НАЙЧАСТІШЕ СКАРЖАТЬСЯ ЛЮДИ .

варіанти відповідей

КУЛЬШОВИЙ С.

НАДП'ЯТКОВО-ГОМІЛКОВИЙ С.

ЛІКТЬОВИЙ С.

КОЛІННИЙ С.

ПЛЕЧОВИЙ С.

СПОЛУЧЕННЯ ХРЕБЦІВ - МІЖХРЕБЦЕВІ ДИСКИ

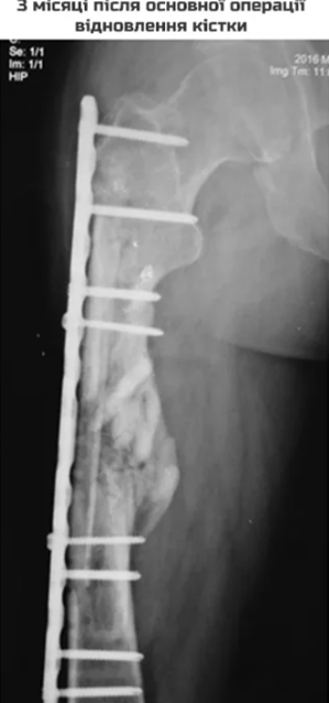
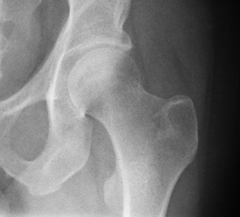
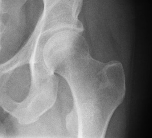
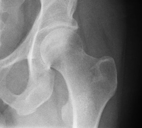
Запитання 23

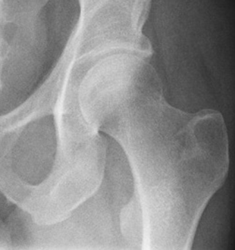
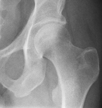
НЕОПЕРОВАНИЙ ПЕРЕЛОМ ЦІЄЇ КІСТКИ І В ЦЬОМУ МІСЦІ ПРИЗВЕДЕ ДО СМЕРТІ В СЕРЕДНЬОМУ ЧЕРЕЗ КІЛЬКА РОКІВ. А ЦІ РОКИ ПЕРЕТВОРЯТЬСЯ НА СИДЯЧІ АБО ЛЕЖАЧІ МУКИ. ЯКОЇ КІСТКИ І ЯКОЇ ЇЇ ЧАСТИНИ?

варіанти відповідей

HUMERUS, ХІРУРГІЧНА ШИЙКА

ВЕРХНЬОГО ДІАФІЗА

FEMUR, ШИЙКА

ULNA, ШИЙКА

ПРОКСИМАЛЬНОГО ЕПІФІЗА

ДИСТАЛЬНОГО ЕПІФІЗА

HUMERUS, ШИЙКА

RADIUS, ШИЙКА

Запитання 24

ЯКА КІСТКА ТА ЯКА ЇЇ ЧАСТИНА УТВОРЮЄ БІЧНУ СТІНКУ ВЕЛИКОГО ТАЗУ?

варіанти відповідей

КРИЛО

OS ILEUM

ОСТІ

OS PUBIS

ГРЕБІНЬ

OS FEMUR

OS ISCHII

СИМФІЗ

Запитання 25

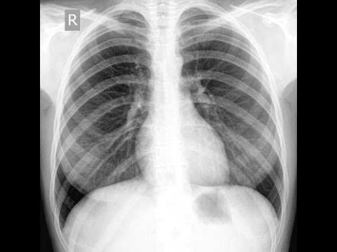
ЯКІ ВИГИНИ ХРЕБТА ВИ БАЧИТЕ НА РЕНТГЕНОГРАМІ?

варіанти відповідей

ТОРАКАЛЬНИЙ КІФОЗ, ЛЮМБАЛЬНИЙ КІФОЗ

ТОРАКАЛЬНИЙ ЛОРДОЗ

ТОРАКАЛЬНИЙ ЛОРДОЗ, ЦЕРВІКАЛЬНИЙ ЛОРДОЗ

ЦЕРВІКАЛЬНИЙ ЛОРДОЗ, ТОРАКАЛЬНИЙ КІФОЗ

ЦЕРВІКАЛЬНИЙ КІФОЗ

ТОРАКАЛЬНИЙ КІФОЗ

ЦЕРВІКАЛЬНИЙ ЛОРДОЗ

Запитання 26

НА ЯКІЙ РЕНТГЕНОГРАМІ Є КІСТКИ, ЩО НЕ НАЛЕЖАТЬ ДО СКЕЛЕТУ НИЖНЬОЇ КІНЦІВКИ?

варіанти відповідей
Запитання 27

РОЗПІЗНАЙТЕ НАЙРУХОМІШИЙ СУГЛОБ ТІЛА ЛЮДИНИ, А ТАКОЖ СУГЛОБИ І КІСТКИ З ПЕВНИМИ ДІАГНОЗАМИ.

варіанти відповідей
Запитання 28

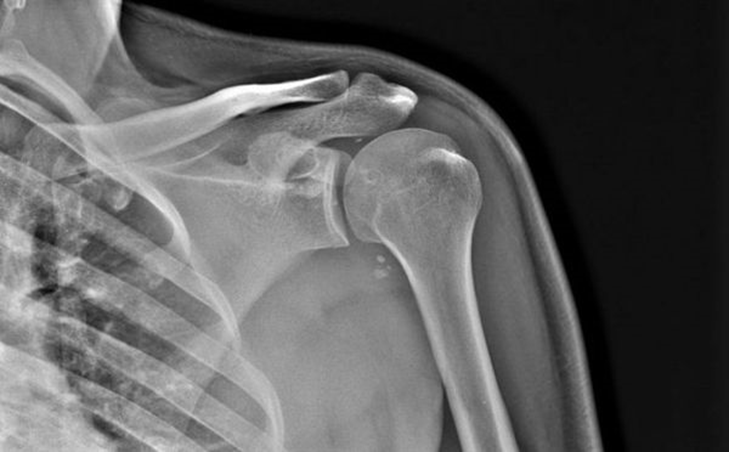
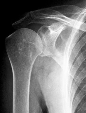
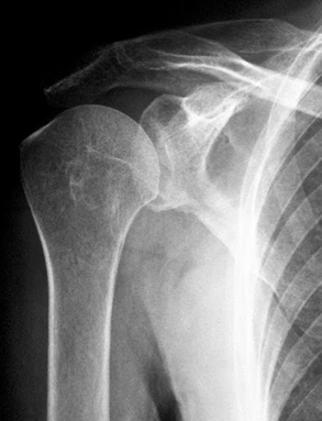
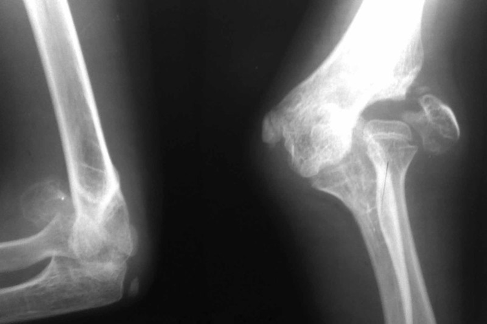
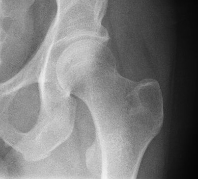
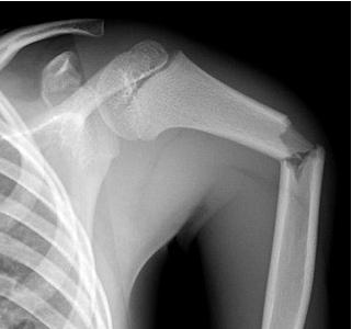
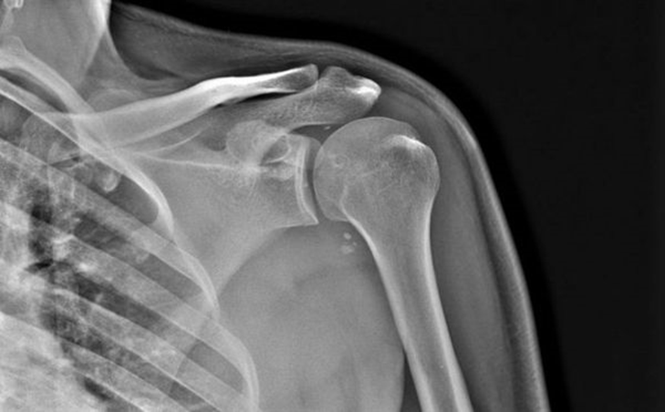
ПЕРЕЛОМ ЯКОЇ КІСТКИ І В ЯКІЙ ЇЇ ЧАСТИНІ ВИ БАЧИТЕ?

варіанти відповідей

ГОЛОВКИ HUMERUS

ДИСТАЛЬНОГО ЕПІФІЗА HUMERUS

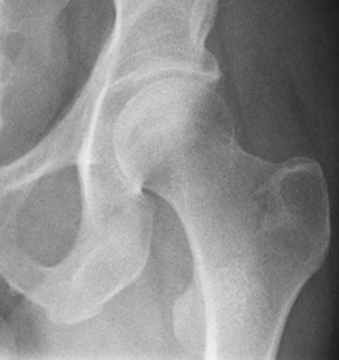
ШИЙКИ FEMUR

ГОЛОВКИ FEMUR

ГОЛОВКИ RADIUS

ПРОКСИМАЛЬНОГО ЕПІФІЗА HUMERUS

ХІРУРГІЧНОЇ ШИЙКИ HUMERUS

АНАТОМІЧНОЇ ШИЙКИ HUMERUS

Запитання 29

СКЛАДНИЙ СУГЛОБ (ЯК ВИЛКА). Є ВСІ ПЕРЕДУМОВИ ДЛЯ РОЗТЯГНЕННЯ ЗВ'ЯЗОК І ЗМІЩЕННЯ КІСТОК. РОЗПІЗНАЙТЕ СУГЛОБ.

варіанти відповідей
Запитання 30

РОЗПІЗНАЙТЕ СУГЛОБ 15

варіанти відповідей

КРИЖОВО-ЛЮМБАЛЬНИЙ С.

КРИЖОВО-КУПРИКОВИЙ С.

КРИЖОВО-КЛУБОВИЙ С.

КРИЖОВО-СІДНИЧНИЙ С.

МАЛОРУХОМИЙ С.

ЄДИНИЙ, ЩО НАЛЕЖИТЬ ДО СКЕЛЕТУ ТУЛУБА

НАЗВА НЕ ВІДПОВІДАЄ ДІЙСНОСТІ, ТОМУ ЩО ЦЕ НЕ СУГЛОБОВЕ З'ЄДНАННЯ

КРИЖОВО-ТАЗОВИЙ С.

Запитання 31

ЯКИЙ ОТВІР ГРУДНОЇ КЛІТКИ ЗАКРИТИЙ, А ЯКИЙ ВІДКРИТИЙ? ЦЕ МАЄ КЛІНІЧНЕ ЗНАЧЕННЯ.

варіанти відповідей

ВЕРХНІЙ ОТВІР ЗАКРИТИЙ

НИЖНІЙ ОТВІР ВІДКРИТИЙ


ВЕРХНІЙ ОТВІР ВІДКРИТИЙ


НИЖНІЙ ОТВІР ЗАКРИТИЙ


ОРГАНИ ШИЇ ПЕРЕХОДЯТЬ У ГРУДНУ ПОРОЖНИНУ БЕЗ ПЕРЕШКОД (З'ЄДНАНІ), ТОМУ ЗАПАЛЬНІ ПРОЦЕСИ ТЕЖ МОЖУТЬ ПЕРЕХОДИТИ (ТУДИ-СЮДИ)

ОРГАНИ ГРУДНОЇ ПОРОЖНИНИ ПРОХОДЯТЬ У ЧЕРЕВНУ ПОРОЖНИНУ, А З ЧЕРЕВНОЇ У ГРУДНУ ПОРОЖНИНУ (Є ОТВОРИ), ТОМУ ПАТОЛОГІЧНІ ПРОЦЕСИ ТЕЖ МОЖУТЬ ПЕРЕХОДИТИ (ТУДИ-СЮДИ)

ОБИДВІ АПЕРТУРИ ЗАКРИТІ

ОБИДВІ АПЕРТУРИ ВІДКРИТІ

Запитання 32

РОЗПІЗНАЙТЕ ВІДРОСТОК ХРЕБЦЯ ЯКИЙ НАЗИВАЄТЬСЯ "ВИСТУПНИМ", ТОМУ ЛЕГКО ПАЛЬПУЄТЬСЯ?

варіанти відповідей

ОСТИСТИЙ

ТОРАКАЛЬНИЙ

Тh1

ЦЕРВІКАЛЬНИЙ

С7

С6

С5

Тh2

Запитання 33

ДЕ ВИ БАЧИТЕ ЕЛЕМЕНТ КІСТКИ, ЗНАННЯ ЯКОГО НЕОБХІДНЕ В АКУШЕРСТВІ ДЛЯ ВИМІРЮВАННЯ РОЗМІРІВ ВЕЛИКОГО ТАЗУ? (ВЕРТЛЮГОВА ДИСТАНЦІЯ).

варіанти відповідей
Запитання 34

ДЕ ВИ БАЧИТЕ КІСТКУ, ЩО РОЗТАШОВАНА З ЛАТЕРАЛЬНОЇ СТОРОНИ ГОМІЛКИ?

варіанти відповідей
Запитання 35

СУГЛОБОВА ПОВЕРХНЯ ТАЗОВОЇ КІСТКИ З'ЄДНУЄТЬСЯ З ... КІСТКОЮ І УТВОРЮЄ ... СУГЛОБ

варіанти відповідей

З FEMUR

З OS PUBIS

З OS ISCHII

З OS ILEUM

УТВОРЮЄ КЛУБОВО-СТЕГНОВИЙ СУГЛОБ

УТВОРЮЄ КУЛЬШОВИЙ СУГЛОБ

УТВОРЮЄ ТАЗОВИЙ СУГЛОБ

УТВОРЮЄ ТАЗОСТЕГНОВИЙ СУГЛОБ

Запитання 36

ДЕ ВИ БАЧИТЕ СУГЛОБ, ЯКИЙ ЗАБЕЗПЕЧУЄ РУХИ СТЕГНА.

варіанти відповідей
Запитання 37

ДЕ ВИ БАЧИТЕ СУГЛОБ, ЯКИЙ ЗАБЕЗПЕЧУЄ РУХИ СТОПИ.

варіанти відповідей
Запитання 38

ДЕ ВИ БАЧИТЕ СУГЛОБ, ЯКИЙ ЗАБЕЗПЕЧУЄ РУХИ ПЛЕЧА.

варіанти відповідей
Запитання 39

РОЗПІЗНАЙТЕ ДИСТАЛЬНИЙ ПРОМЕНЕВО-ЛІКТЬОВИЙ СУГЛОБ.

варіанти відповідей
Запитання 40

ЯКОЮ БУКВОЮ ПОЗНАЧЕНО ЛОБКОВИЙ СИМФІЗ? ЯКЕ ЦЕ СПОЛУЧЕННЯ?

варіанти відповідей

а

б

в

НЕ ПОЗНАЧЕНИЙ

ВІДСУТНІЙ

РУХОМЕ

НЕРУХОМЕ

НАПІВРУХОМЕ

Запитання 41

ЯКА ІЗ КІСТОК МАЄ КРИЛО?

варіанти відповідей

OS ILEUM

OS PUBIS

OS ISCHII

FEMUR

SCAPULA

STERNUM

SACRUM

OS СОХАЕ

Запитання 42

ДО ЯКОГО ВІДДІЛУ СКЕЛЕТУ НАЛЕЖИТЬ ЦЯ КІСТКА?

варіанти відповідей

ВЕРХНЬОЇ КІНЦІВКИ

ТУЛУБА

ТАЗУ

НИЖНЬОЇ КІНЦІВКИ

ХРЕБТА

Запитання 43

ДЕ ВИ БАЧИТЕ ЄДИНИЙ СУГЛОБ, ЩО СПОЛУЧАЄ ВЕРХНЮ КІНЦІВКУ ІЗ ТУЛУБОМ ?

варіанти відповідей
Запитання 44

ЯКОЮ ЦИФРОЮ ПОЗНАЧЕНИЙ ВЕЛИКИЙ ВЕРТЛЮГ? (В АКУШЕРСТВІ ВИМІРЮЮТЬ ВЕРТЛЮГОВУ ДИСТАНЦІЮ).

варіанти відповідей

2

6

7

3

4

11

12

Запитання 45

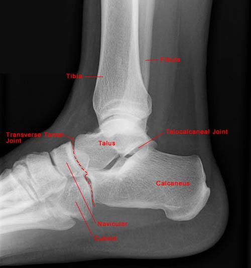
НА РІВНІ ЯКОГО СУГЛОБА РОБЛЯТЬ АМПУТАЦІЮ?

варіанти відповідей

9 - ШОПАРА

9 - ЛІСФРАНКА

8 - ЛІСФРАНКА

8 - ШОПАРА

ЗАПЛЕСНО-ПЛЕСНОВИХ СС.

МІЖПЛЕСНОВИХ СС.

ПОПЕРЕЧНОГО С. ЗАПЛЕСНО

ПОПЕРЕЧНОГО С. ЗАП'ЯСТКА

Запитання 46

ДЕ ВИ БАЧИТЕ СУГЛОБ, ЩО ЗАБЕЗПЕЧУЄ РУХИ ПЛЕЧА?

варіанти відповідей
Запитання 47

РОЗПІЗНАЙТЕ ЄДИНИЙ СУГЛОБ, ЩО З'ЄДНУЄ НИЖНЮ КІНЦІВКУ ІЗ ТУЛУБОМ.

варіанти відповідей

КУЛЬШОВИЙ С.

КРИЖОВО-КЛУБОВИЙ С.

КРИЖОВО-КУПРИКОВИЙ С.

ПОПЕРЕКОВО-КРИЖОВИЙ С.

СТЕГНОВИЙ С.

Запитання 48

ШИЙКА КІСТКИ ГЛИБОКО МІСТИТЬСЯ В СУГЛОБОВІЙ ПОРОЖНИНІ, КАПСУЛА МІЦНА, СКРІПЛЕНА БІЧНИМИ ЗВ'ЯЗКАМИ, ЩО СПРИЯЄ ПЕРЕЛОМАМ. РОЗПІЗНАЙТЕ СУГЛОБ.

варіанти відповідей
Запитання 49

СУГЛОБ СКЛАДНИЙ. СУГЛОБОВА КАПСУЛА ТОНКА, УТВОРЮЄ БАГАТО СУМОК, ЯКІ СПОЛУЧАЮТЬСЯ ІЗ СУГЛОБОВОЮ ПОРОЖНИНОЮ. ЦЕ СПРИЯЄ ПЕРЕХОДУ ЗАПАЛЬНИХ ПРОЦЕСІВ (Є ДІАГНОЗ: БУРСИТ). ДЕ ВИ БАЧИТЕ ЦЕЙ СУГЛОБ.

варіанти відповідей
Запитання 50

ЯКИЙ СУГЛОБ УТВОРЮЮТЬ ТАКІ КІСТКИ: FEMUR, FIBULA ТА TIBIA ?

варіанти відповідей

КОЛІННИЙ С.

НАДП'ЯТКОВО-ГОМІЛКОВИЙ С.

ГОМІЛКОВО-СТОПНИЙ С.

НЕМАЄ ТАКОГО

ЛІКТЬОВИЙ С.

ПРОМЕНЕВО-ЗАП'ЯСТКОВИЙ С.

А ХІБА ТАКИЙ Є?

Запитання 51

РОЗПІЗНАЙТЕ СУГЛОБ, ЯКИЙ ЗАБЕЗПЕЧУЄ РУХИ ГОМІЛКИ.

варіанти відповідей
Запитання 52

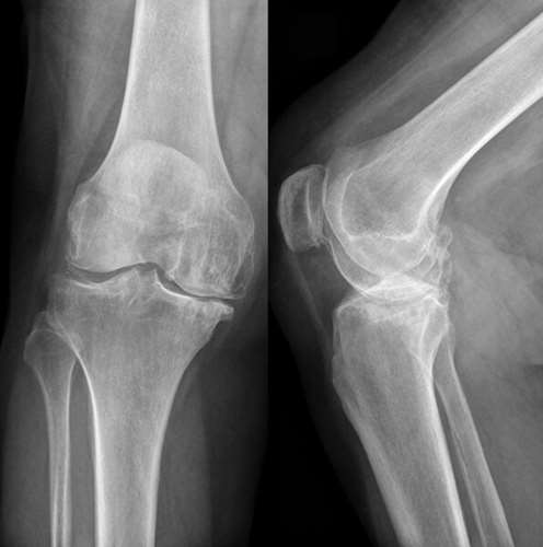
РОЗПІЗНАЙТЕ СКЛАДНИЙ СУГЛОБ, ЯКИЙ СКЛАДАЄТЬСЯ З ТРЬОХ КІСТОК, ОДНА З ЯКИХ РОЗТАШОВАНА В СУХОЖИЛКУ ЧОТИРИГОЛОВОГО М'ЯЗА СТЕГНА.

варіанти відповідей
Запитання 53

НА ЯКОМУ РИСУНКУ ВИ БАЧИТЕ СУГЛОБ ГОЛОВКИ І ТА СУГЛОБ ГОРБИКА ?

варіанти відповідей
Запитання 54

СКІЛЬКИ ВИГИНІВ ТА ВІДДІЛІВ МАЄ СПИННИЙ МОЗОК?

варіанти відповідей

ГРУДНИЙ КІФОЗ, ШИЙНИЙ ЛОРДОЗ

ЦЕРВІКАЛЬНИЙ, ТОРАКАЛЬНИЙ, ЛЮМБАЛЬНИЙ, САКРАЛЬНИЙ ВІДДІЛИ

КУПРИКОВИЙ, ТОРАКАЛЬНИЙ, ЛЮМБАЛЬНИЙ, САКРАЛЬНИЙ, ЦЕРВІКАЛЬНИЙ ВІДДІЛИ

ШИЙНИЙ КІФОЗ, ГРУДНИЙ КІФОЗ, ЛЮМБАЛЬНИЙ ЛОРДОЗ, САКРАЛЬНИЙ КІФОЗ

ГРУДНИЙ КІФОЗ, ШИЙНИЙ ЛОРДОЗ, КРИЖОВИЙ КІФОЗ, ПОПЕРЕКОВИЙ ЛОРДОЗ

ЦЕРВІКАЛЬНИЙ ЛОРДОЗ, ТОРАКАЛЬНИЙ КІФОЗ

2 ЗГИНИ

4 ЗГИНИ

Запитання 55

РОЗПІЗНАЙТЕ РІДИНУ, ЩО МІСТИТЬСЯ В ПОРОЖНИНІ СУГЛОБА У ВАС.

варіанти відповідей

СИНОВІАЛЬНА РІДИНА: ПРОЗОРА, РІДКА, В НОРМІ НЕ МІСТИТЬ БІЛОК КОЛАГЕН

СИНОВІАЛЬНА РІДИНА: ПРОЗОРА, ДУЖЕ В'ЯЗКА, В НОРМІ НЕ МІСТИТЬ БІЛКА КОЛАГЕНУ

СИНОВІАЛЬНА РІДИНА: НЕ ПРОЗОРА, В'ЯЗКА, В НОРМІ НЕ МІСТИТЬ БІЛОК КОЛАГЕН

СИНОВІАЛЬНА РІДИНА: ПРОЗОРА, РІДКА, В НОРМІ НЕ МІСТИТЬ БІЛКА КОЛАГЕНУ

Запитання 56

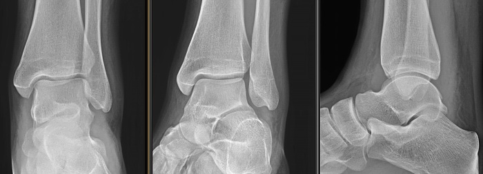
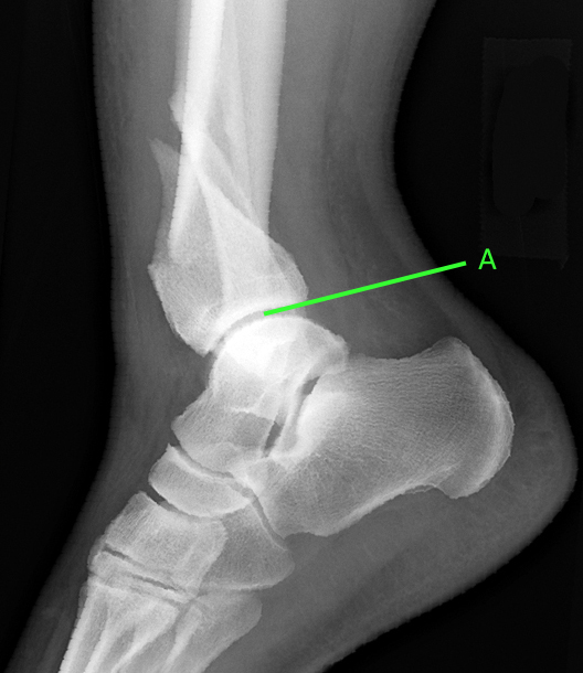
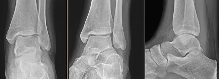
СУГЛОБ УТВОРЕНИЙ СУГЛОБОВИМИ ПОВЕРХНЯМИ ЛАТЕРАЛЬНОЇ І МЕДІАЛЬНОЇ КІСТОЧКИ ТА ТІЛОМ ТАРАННОЇ КІСТКИ. РУХИ НАВКОЛО ФРОНТАЛЬНОЇ ОСІ. ЧАСТО - РОЗТЯЖІННЯ, ВИВИХИ, РОЗРИВИ, ПЕРЕЛОМИ. РОЗПІЗНАЙТЕ СУГЛОБ.

варіанти відповідей

КОЛІННИЙ С.

ГОМІЛКОВО-СТОПНИЙ С.

КУЛЬШОВИЙ С.

ЛІКТЬОВИЙ С.

ПЛЕЧОВИЙ С.

ПРОМЕНЕВО-ЗАП'ЯСТКОВИЙ С.

Запитання 57

ПЛОСКА, ДОВГА, ГУБЧАСТА КІСТКА ТУЛУБА. ЗНИЗУ УТВОРЮЄ КУТ. ЦЕЙ ФАКТ МАЄ ВЕЛИКЕ ЗНАЧЕННЯ ДЛЯ ЛІКАРЯ ПРИ ОБСТЕЖЕННІ ХВОРОГО, ТОМУ ЩО КУТ ЛЕГКО ПРОМАЦАТИ КРІЗЬ ШКІРУ І ЗАВДЯКИ ЦЬОМУ ЗНАЙТИ ТОЙ ЧИ ІНШИЙ ОРГАН ЧЕРЕВНОЇ ПОРОЖНИНИ. РОЗПІЗНАЙТЕ КІСТКУ.

варіанти відповідей

COSTAE I

STERNUM

VERTEBRA

CLAVICULA

COSTAE XII

COSTAE VII

COSTAE X

SCAPULA

Запитання 58

ДЕ ВИ БАЧИТЕ КІСТУ ЯКА МАЄ promontorium?

варіанти відповідей
Запитання 59

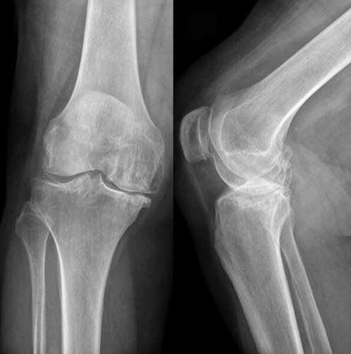
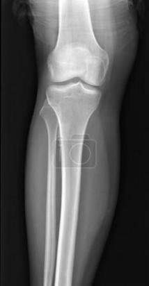
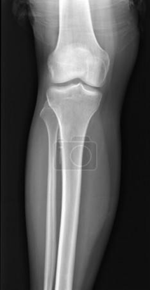
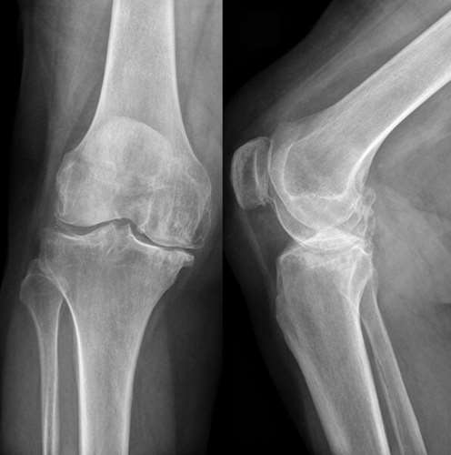
СУГЛОБ СКЛАДНИЙ. УТВОРЕНИЙ СУГЛОБОВИМИ ПОВЕРХНЯМИ МЕДІАЛЬНОГО І ЛАТЕРАЛЬНОГО ВИРОСТКІВ, ЯКІ Є В ОБОХ КІСТКАХ, ЩО ЙОГО УТВОРЮЮТЬ. РОЗПІЗНАЙТЕ СУГЛОБ.

варіанти відповідей

КОЛІННИЙ С.

ЛІКТЬОВИЙ С.

ГОМІЛКОВО--СТОПНИЙ С.

ПРОМЕНЕВО-ЗАП'ЯСТКОВИЙ С.

Запитання 60

ВИБЕРІТЬ ПРАВИЛЬНІ ВІДПОВІДІ.

варіанти відповідей

4 - ДИСТАЛАЛЬНА СУГЛОБОВА ПОВЕРХНЯ

Б - ПРОКСИМАЛЬНИЙ ЕПІФІЗ

1 - ПРОКСИМАЛЬНА СУГЛОБОВА ПОВЕРХНЯ

Г - ДИСТАЛАЛЬНИЙ ЕПІФІЗ

Б - МЕТАФІЗ У ДІТЕЙ

В - МЕТАФІЗ Є У ВСІХ

В - ДІАФІЗ У ДІТЕЙ

В - ДІАФІЗ ДИСТАЛЬНИЙ

Запитання 61

РОЗПІЗНАЙТЕ 4 ХРЕБЦІ ЩО МАЮТЬ ЯКІСЬ "ОРИГІНАЛЬНІ НАЗВИ".

варіанти відповідей

С1, С6, С7, С2

С2, С1, С6, L1

С1, С2, Т1, С7

С1, С2, Т12, С7

С1, С2, С6, L2

Т1, С6, С1, С2

Запитання 62

РОЗПІЗНАЙТЕ КІСТКУ, ЯКА МАЄ ВЕРХІВКУ ГОЛОВКИ.

варіанти відповідей
Запитання 63

ЯКА КІСТКА МАЄ ЛАТЕРАЛЬНУ КІСТОЧКУ, ЩО ВХОДИТЬ ДО СКЛАДУ СУГЛОБА?

варіанти відповідей
Запитання 64

ЯКА КІСТКА МАЄ МЕДІАЛЬНУ КІСТОЧКУ, ЩО ВХОДИТЬ ДО СКЛАДУ СУГЛОБА?

варіанти відповідей
Запитання 65

ЯКА КІСТКА МАЄ ШИЛОПОДІБНИЙ ВІДРОСТОК?

варіанти відповідей
Запитання 66

ЯКА КІСТКА МАЄ БЛОК?

варіанти відповідей
Запитання 67

ЯКА КІСТКА МАЄ ГРЕБІНЬ?

варіанти відповідей
Запитання 68

ЯКА КІСТКА МАЄ  КРИЛО?

варіанти відповідей

OS ILEUM

OS СОХАЕ

OS ISCHII

OS PUBIS

PEDIS

MANUS

SCAPULA

PATELLA

Запитання 69

ЯКА КІСТКА МАЄ МЕДІАЛЬНИЙ І ЛАТЕРАЛЬНИЙ ВИРОСТКИ, ЩО ВХОДЯТЬ ДО СКЛАДУ СУГЛОБА?

варіанти відповідей
Запитання 70

ЯКІ СПОЛУЧЕННЯ МАЮТЬ ТАКИЙ ДОДАТКОВИЙ ЕЛЕМЕНТ, ЯК СУГЛОБОВА ГУБА?

варіанти відповідей
Запитання 71

ДЕ БІЛЬШЕ СУГЛОБІВ?

варіанти відповідей
Запитання 72

УТВОРЕНА ТРЬОМА ОКРЕМИМИ КІСТКАМИ, ЯКІ СПОЛУЧЕНІ ХРЯЩАМИ ДО 16 - 17 РОКІВ.

варіанти відповідей

OS ILEUM

OS СОХАЕ

MANUS

PEDIS

PELVIS

THORAX

STERNUM

PATELLA

Запитання 73

ЩО УТВОРЮЮТЬ ТРИ КІСТКИ КІНЦІВКИ, ЯКІ ЗРОСЛИСЯ В ОДНУ?

варіанти відповідей

ЗАТУЛЬНИЙ ОТВІР

МІЖХРЕБЦЕВИЙ ОТВІР

ВЕЛИКИЙ ПОТИЛИЧНИЙ ОТВІР

ХРЕБТОВИЙ КАНАЛ

БЛОКОВИЙ ОТВІР

КУЛЬШОВИЙ ОТВІР

Запитання 74

ЯК НАЗИВАЄТЬСЯ ПОВЕРХНЯ СПОЛУЧЕННЯ OS СОХАЕ І OS SACRUM?

варіанти відповідей

ВУШКОПОДІБНА ПОВЕРХНЯ

КРИЛОПОДІБНА ПОВЕРХНЯ

ГРЕБЕНЕПОДІБНА ПОВЕРХНЯ

ШИЛОПОДІБНА ПОВЕРХНЯ

СІДЛОПОДІБНА ПОВЕРХНЯ

Запитання 75

КІСТКА СКЛАДАЄТЬСЯ З ТРЬОХ ЧАСТИН: ТІЛО, ВЕРХНЯ ГІЛКА ТА НИЖНЯ ГІЛКА. РОЗПІЗНАЙТЕ.

варіанти відповідей

OS PUBIS

PELVIS

OS СОХАЕ

OS ISCHII

OS ILEUM

SCAPULA

Запитання 76

ЩО ІЗ ПЕРЕРАХОВАНОГО МАЄ FEMUR НА ПРОКСИМАЛЬНОМУ ЕПІФІЗІ?

варіанти відповідей

2 ВИРОСТКИ

2 НАДВИРОСТКИ

ВЕЛИКИЙ ВЕРТЛЮГ

МАЛИЙ ВЕРТЛЮГ

ТУПИЙ ШИЙКО-ДІАФІЗАРНИЙ КУТ

Запитання 77

ЩО МАЄ TIBIA НА ДИСТАЛЬНОМУ ЕПІФІЗІ?



варіанти відповідей

НА ЗОВНІШНІЙ ПОВЕРХНІ ЛАТЕРАЛЬНОГО ВИРОСТКА Є СУГЛОБОВА ПОВЕРХНЯ ДЛЯ СПОЛУЧЕННЯ З МАЛОГОМІЛКОВОЮ КІСТКОЮ

ЛАТЕРАЛЬНУ КІСТОЧКУ

МІЖВИРОСТКОВЕ ПІДВИЩЕННЯ

МІЖВИРОСТКОВЕ ПОЛЕ

МЕДІАЛЬНУ КІСТОЧКУ

НА МЕДІАЛЬНІЙ ПОВЕРХНІ Є ВИРІЗКА ДЛЯ СПОЛУЧЕННЯ ІЗ FIBULA

Запитання 78

ЯКА КІСТКА Є "МЕНІСКОМ" У СУГЛОБІ ЩО СПОЛУЧАЄ ГОМІЛКУ І СТОПУ?

варіанти відповідей

НАДП'ЯТКОВА К.

П'ЯТКОВА К.

ЧОВНОПОДІБНА К.

КУБОПОДІБНА К.

КЛИНОПОДІБНА К.

FIBULA

TIBIA

ГОРОХОПОДІБНА К.

Запитання 79

ЯКІ ДВІ КІСТКИ ОБМЕЖУЮТЬ ОДИН ВЕЛИКИЙ ОТВІР?

варіанти відповідей

OS ISCHII

OS PUBIS

OS ILEUM

OS СОХАЕ

PELVIS

Запитання 80

ЯКІ КІСТКИ НЕ НАЛЕЖАТЬ ДО КІНЦІВОК?

варіанти відповідей

STERNUM

CLAVICULA

SCAPULA

ЧОВНОПОДІБНА К.

ГОРОХОПОДІБНА К.

SACRUM

HUMERUS

OS СОХАЕ

Створюйте онлайн-тести
для контролю знань і залучення учнів
до активної роботи у класі та вдома

Створити тест