ДІАГНОСТИЧНА РОБОТА 7 НУШ Одноклітинні еукаріоти. Прокаріоти. Бактерії та бактеріальні захворювання.Віруси та вірусні захворювання.

24 запитання
Запитання 1

Назвіть організм зображений на світлині:

варіанти відповідей

вольвокс

евглена

фораменіфера

 інфузорія

амеба

радіолярія

Запитання 2

Назвіть організм зображений на світлині:

варіанти відповідей

вольвокс

амеба

форамініфера

інфузорія

ночесвітка

евглена

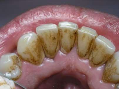
Запитання 3

Діяльність яких організмів спричиняє наліт на зубах:

варіанти відповідей

амеби

евглени

бактерії

форамініфери

радіолярії

ночесвітки

Запитання 4

Одноклітинні організми, клітини яких позбавлені ядра, а генетична інформація у вигляді ДНК знаходиться вільно у цитоплазмі називають ...

варіанти відповідей

еукаріоти

прокаріоти

віруси

гриби

Запитання 5

Яку функцію виконує джгутик в евглени?

варіанти відповідей

рух

розмноження

світлосприйняття

фотосинтез

Запитання 6

Війки - це органи...

варіанти відповідей

дотику

розмноження

руху

видалення надлишку води

Запитання 7

Оберіть усі хвороботворні організми:

варіанти відповідей

молочнокислі бактерії

стрептоміцети

паличка Коха

залізобактерії

кишечна паличка

ВІЛ

коронавірус

сіркобактерії

Запитання 8

Вкажіть середовища, де можуть виживати бактерії

варіанти відповідей

грунт

нафта

льодовики

термальні джерела

повітря

вода

усі відповіді вірні

Запитання 9

Дизентерія - небезпечна хвороба, збудником якої є:

варіанти відповідей

 дизентерійна амеба

інфузорія туфелька

малярійний плазмодій

амеба протей

Запитання 10

Неклітинні форми життя, які не є живими організмами, бо їм не притаманні обмін речовин та енергії, подразливість, рух і розвиток - це...

варіанти відповідей

бактерії

віруси

гриби

капсид

Запитання 11

Білкова оболонка віруса називається:

варіанти відповідей

віріон

капсид

мембрана

нуклеоїд

Запитання 12

В яких випадках віруси починають проявляти ознаки живих організмів?

варіанти відповідей

при потраплянні на сонце

при потраплянні в клітини організмів

при заморожуванні

при потраплянні у воду

Запитання 13

Віруси, що паразитують у бактеріях, називаються:

варіанти відповідей

бактеріофаги

комп'юторні віруси

особливі віруси

бактеріовіруси

Запитання 14

Позначте, які хвороби спричиняють хвороботворні бактерії:

варіанти відповідей

правець

герпес

дифтерія

кашлюк

гепатит В

туберкульоз

СНІД

Запитання 15

Зона цитоплазми клітини бактерії, де міститься ДНК називається:

варіанти відповідей

капсула

цитоскелет

капсид

нуклеоїд

Запитання 16

Прокаріоти - це..

варіанти відповідей

археї

віруси

бактерії

пріони

Запитання 17

Процес, у якому енергію для утворення органічних речовин прокаріоти отримують від реакцій окиснення неорганічних речовин, називається...

варіанти відповідей

кисневе дихання

хемосинтез

бродіння

азотфіксація

Запитання 18

На якому малюнку зображено бактеріофаг

варіанти відповідей
Запитання 19

Вказати найбільш правильне визначення. віруси - це

варіанти відповідей

клітинні форми життя

неклітинні форми життя

внутрішньоклітинні паразитичні неклітинні форми життя

паразитичні форми життя 

Запитання 20

Лікування бактеріальних захворювань проводять за допомогою...

варіанти відповідей

стерилізації

вакцинації

антибіотиків

дієт

Запитання 21

Бактерії за способом живлення:

варіанти відповідей

автотрофи;

гетеротрофи;

автотрофи і гетеротрофи.

Запитання 22

Назвіть зображених представників (з ліва на право)

варіанти відповідей

амеба, евглена, інфузорія

евглена,лейшманія, інфузорія

амеба, хламідомонада, трипаносома

амеба, евглена, лямблія

Запитання 23

Серед запропонованих одноклітинних організмів, вкажіть, які з них здатні до фотосинтезу.

варіанти відповідей
Запитання 24

Головна ознака евкаріотів

варіанти відповідей

наявність ядра

наявність оболонки

наявність джгутиків

Створюйте онлайн-тести
для контролю знань і залучення учнів
до активної роботи у класі та вдома

Створити тест