Клітини та тканини тварин. ЗНО

Додано: 19 січня
Предмет: Біологія
49 запитань
Запитання 1

Процеси формування тканин в онтогенезі

варіанти відповідей

гістогенез

ембріогенез

органогенез

постембріогенез

Запитання 2

До тканин внутрішнього середовища відносяться:  

варіанти відповідей

Кров

Лімфа

Хрящова тканина

  М’язова тканина

  Нервова тканина

Епітеліальна тканина

Запитання 3

Група клітин, які мають подібну форму і виконують однакові функції та мають спільне походження , називають:

варіанти відповідей

орган

тканина

орган і тканина

колонія

Запитання 4

Позначте тканину, яка відсутня в рослин:

варіанти відповідей

нервова;

механічна;

покривна;

провідна.

Запитання 5

Укажіть, до якої групи тканин належить кров:

варіанти відповідей

сполучна;

епітеліальна;

м"язова;

нервова.

Запитання 6

Укажіть, яких тварин називають тришаровими:

варіанти відповідей

органи й тканини яких розташовані трьома шарами - нижній, середній і верхній;

органи й тканини яких утворені із трьох зародкових листків;

до складу тіла яких входять три типи тканин;

органи й тканини яких розвиваються з ектодерми й мезодерми.

Запитання 7

Укажіть органи, утворені багатошаровим епітелієм:

варіанти відповідей

A) кров;

Б) нерви;

B) епідерміс шкіри;

Г) м’язи.

Запитання 8

Укажіть тканину, багату на міжклітинну речовину:

варіанти відповідей

A) нервова;

Б) м’язова;

B) сполучна;

Г) епітеліальна.

Запитання 9

Визначте, яка тканина НЕ належить до сполучної:

варіанти відповідей

A) хрящова;

Б) залозиста;

B) жирова;

Г) кров.

Запитання 10

Укажіть характерну особливість будови нервової тканини

варіанти відповідей

A) клітини розміщені шарами;

Б) клітини мають округлу форму;

B) клітини мають тіло з відростками;

Г) клітини видовженої форми.

Запитання 11

Укажіть тканину, що утворює внутрішній шар порожнистих органів тварин:

варіанти відповідей

A) нервова;

Б) м’язова;

B) сполучна;

Г) епітеліальна.

Запитання 12

Цифрою 1 на малюнку позначено :

варіанти відповідей

епітеліальну тканину

сполучну тканину

нервову тканину

мязову тканину

Запитання 13

Цифрою 5 на малюнку позначено :

варіанти відповідей

епітеліальну тканину

сполучну тканину

нервову тканину

мязову тканину

кісткову тканину

Запитання 14

Довгий відросток нейрона

варіанти відповідей

Дендрит

Аксон

Нейроглія

Базальна мембрана

Запитання 15

До м’язової тканини відносятся:

варіанти відповідей

Посмугована тканина

Непосмугована (гладенька)

Серцева

Одношарова

Багатошарова

Запитання 16

Цифрою 4 на малюнку позначено :

варіанти відповідей

епітеліальну тканину

сполучну тканину

нервову тканину

мязову тканину

кісткову тканину

Запитання 17

Яка тваринна тканина має наступні характеристики та функції: складається із зірчастих клітин-нейронів, які здатні сприймати подразнення та передавати керівні сигнали від мозку до органів; відбувається регуляція всіх функцій організму.

варіанти відповідей

нервова

м'язова

епітеліальна

сполучна

Запитання 18

Визнач вірні твердження: 1) клітини внутрішнього середовища перебувають на значній відстані одна від одної.

2) м'язові тканини притаманні лише тваринам

варіанти відповідей

обидва

лише перше

лише друге

обидва неправильні

Запитання 19

Виберіть тканини, що мають багато міжклітинної речовини

варіанти відповідей

епітеліальна

нервова

сполучні

м'язові

Запитання 20

Виберіть ознаки, щзо відрізняють тварин від інших живих організмів

варіанти відповідей

клітинна будова

гетеротрофне живлення

подразливість

активний рух з переміщенням (локомоція)

обмежений ріст для більшості видів

дихання

Запитання 21

Прочитай твердження. Визнач, яке/які є правильне/ні.

- серед тваринних тканин є такі, що перебувають у рідкому стані.

-міжклітинна речовина майже відсутня в епітеліальних тканинах..

варіанти відповідей

лише перше

лише друге

обидва

жодного

Запитання 22

Які ознаки живого притаманні тваринам?

варіанти відповідей

Живлення

Дихання

Ріст й розвиток

Фотосинтез

Подразливість

Здатність до рухів

Обмін речовин та енергії

старіння і смерть

Запитання 23

Вказати які типи тканин характерні для тварин?

варіанти відповідей

покривна

епітеліальна

механічна

 м'язова

провідна

сполучна (внутрішнього середовища)

нервова

основна

Запитання 24

Глікоген запасається у клітинах....

варіанти відповідей

рослини

тварини

гриби

бактерії

Запитання 25

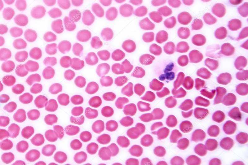
Тканина на фото:

варіанти відповідей

сполучна зі спеціальними властивостями

Рідка сполучна

Власне сполучна

Тверда сполучна

Запитання 26

Вказати тип тканини зображеної на малюнку

варіанти відповідей

епітеліальна

тканина внутрішнього середовища

нервова

мязова

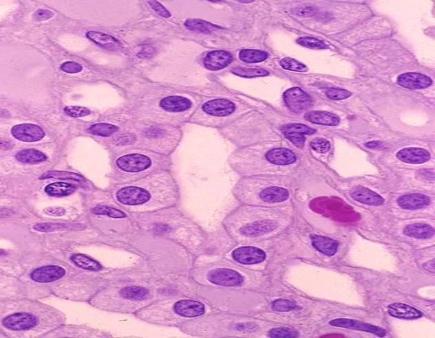
Запитання 27

Яка тканина зображена на фото

варіанти відповідей

епітеліальна

м'язова

нервова

хрящова

Запитання 28

Укажіть тканину, зображену на рисунку:

варіанти відповідей

Посмугована серцева м'язова тканина

Посмугована скелетна м'язова тканина

 Гладенька м'язова тканина

 Епітеліальна тканина

Запитання 29

Які функції виконує епітеліальна тканина

варіанти відповідей

покривна

захисна

транспортна

секреторна

Запитання 30

Серед запропонованих малюнків оберіть зображення кісткової тканини

варіанти відповідей
Запитання 31

Серед запропонованих малюнків оберіть нервову тканину

варіанти відповідей
Запитання 32

До клітин крові належать

варіанти відповідей

еритроцит

остеоцит

тромбоцит

хондроцит

лейкоцит

нейрон

Запитання 33

Якої тканини немає в організмі тигра бенгальського?


варіанти відповідей

епітеліальної

сполучної

м’язової

провідної

Запитання 34

Ця тканина забезпечує потужні швидкі скорочення скелетної мускулатури

варіанти відповідей

нервова

посмугована м'язова

гладенька м'язова

серцева м'язова


Запитання 35

Клітини цієї тканини сприймають подразнення і відповідають скороченням

варіанти відповідей

нервова

сполучна

епітеліальна

м'язова

Запитання 36

Тканина , що утворює скелет,сухожилля, забеспечує живлення інших тканин,

здійснює транспорт речовин,виконує захистну функцію

варіанти відповідей

сполучна

м'язова

нервова

епітеліальна

Запитання 37

Особливостям епітеліальної тканини є:

варіанти відповідей

 Майже не містить міжклітинної речовини

  Виконує захисну і секреторну функції

 Утворює скелет і м'язи

 Вкриває поверхню тіла та вистилає порожнини органів

  

  Має велику кількість міжклітинної речовини

Запитання 38

Посмуговані м'язові волоконця входять до складу:

варіанти відповідей

стінок кровоносних судин

серця

 язика

стінок шлунка

скелетних м'язів

діафрагми

Запитання 39

Укажіть, яку структуру нейрона позначено цифрою 4:

варіанти відповідей

Аксон

Дендрит

Тіло

Ядро

Запитання 40

Яка тканина зображена на фото??

варіанти відповідей

Багатошарова епітеліальна

Залозиста епітеліальна

Одношарова епітеліальна

Сполучна тканина

Запитання 41

Який різновид м`язової тканини зображено на фото?

варіанти відповідей

Посмугована м`язова

Гладенька м`язова

Серцева м `язова

Запитання 42

Опорна й захисна функція.

варіанти відповідей

кісткова тканина

хрящова тканина

жирова тканина

нервова тканина

Запитання 43

Дійсний дифтерійний круп виникає внаслідок відкладання на справжніх голосових зв'язках фібринових плівок, міцно

зв'язаних з епітелієм. Яким з означених нижче типів епiтелiю утворена слизова оболонка цих голосових зв'язок?

варіанти відповідей

Багатошаровим плоским зроговiлим.

Багатошаровим плоским незроговiлим.

Багаторядним призматичним вiйчастим.

Одношаровим плоским.

Одношаровим кубiчним.

Запитання 44

Що може утворюватися за рахунок клітин покривного епітелію? (декілька відповідей):

варіанти відповідей

Пір'я птахів та волосяний покрив ссавців

Зовнішній скелет комах та черепашки молюсків

Роги та копита ссавців

Спинний та головний мозок

Запитання 45

Як називаються клітини, з яких складається нервова тканина?

варіанти відповідей

Міоцити

Нейрони

Епітеліоцити

Нефрони

Запитання 46

Який вид м'язової тканини входить до складу стінок внутрішніх органів (кишківника, судин)?

варіанти відповідей

Посмугована скелетна

Посмугована серцева

Непосмугована (гладенька)

Кісткова

Запитання 47

Розставте рівні організації організму тварини від найменшого до найбільшого

варіанти відповідей

Клітина → Тканина → Орган → Системи органів → Організм

Організм → Системи органів → Орган → Тканина → Клітина

Клітина → Орган → Тканина → Системи органів → Організм

Тканина → Клітина → Орган → Організм → Системи органів

Запитання 48

Яка з тканин внутрішнього середовища має міжклітинну речовину з органічних речовин і формує скелет у зародків хребетних тварин і людини?

варіанти відповідей

Сполучна тканина

Кісткова тканина

Жирова тканина

Хрящова тканина

Запитання 49


Яка відмінність допоміжних клітин нервової тканини (нейроглії) від нейронів?

варіанти відповідей

Нейроглія є складовою внутрішнього середовища, а нейрони – ні

Нейроглія сприймає подразнення, а нейрони – ні

Нейроглія утворює скоротливі нитки

Нейроглія здатна до поділу, а нейрони – ні

Створюйте онлайн-тести
для контролю знань і залучення учнів
до активної роботи у класі та вдома

Створити тест