Одноклітинні евкаріоти- цілісні організми

Додано: 8 жовтня 2025
Предмет: Біологія, 7 клас
26 запитань
Запитання 1

Структурна і функціональна одиниця будови всього живого , що являє собою найменшу живу систему це - клітина

варіанти відповідей

Так

Ні

Запитання 2

Регулює процеси життєдіяльності структура, яка позначена цифрою

варіанти відповідей

1

2

3

4

5

6

Запитання 3

Цифрою 3 позначено

варіанти відповідей

 мале ядро

скоротливу вакуолю

травну вакуолю

 порошицю

Запитання 4

Інфузорія - це

варіанти відповідей

 рослиноподібний одноклітинний організм

одноклітинний гриб

твариноподібний одноклітинний організм


 бактерія

Запитання 5

Обери правильні твердження щодо інфузорії-туфельки

варіанти відповідей

міститься 1 ядро

Має вегетативне і генеративне ядро

має травні й скоротливі вакуолі

рухається за допомогою джгутика


 здатна до фотосинтезу

прокаріот

війки забезпечують рух

Запитання 6

Цифрою чотири позначено

варіанти відповідей

травні вакуолі

скоротливі вакуолі

хлоропласти

 мітохондрії

Запитання 7

Цифрою чотири позначено Марійка з Петриком посперичались. Марійка доводить, що на світлі евглена зелена здійснює фотосинтез, тобто живиться автотрофно . А Петрик пояснює, що в темряві вона живиться готовими поживними речовинами, тобто, гетеротрофно . Яка з відповідей правильна ?

варіанти відповідей

 Евглена зелена живиться лише автотрофно


 Евглена зелена живиться лише гетеротрофно


У евглени зеленої міксотрофний тип живлення, тому і Марійка, і Петрик мають рацію

Запитання 8

Евглені зеленій властива подразливість . У водоймі вона завжди буде рухатись...


варіанти відповідей

 У той бік , який краще освітлений

У той бік , де темно

Запитання 9

Виберіть ознаки, властиві евглені зеленій

варіанти відповідей

форма клітини округла

 має два ядра

має вічко (стигму)

орган руху - джгутик

здатна утворювати цисту

має псевдоподії

Запитання 10

У амеби протей забезпечують рух і захоплення їжі

варіанти відповідей

 джгутики

війки

 псевдоподії

 плавці

Запитання 11

Фораменіфери - мешканці

варіанти відповідей

прісних водойм

 ґрунтів

морських водойм

Запитання 12

Обери ознаки, властиві форамініферам

варіанти відповідей

ядра можуть диференціюватись на вегетативні та генеративні

можуть розмножуватись статевим і нестатевим шляхом

 утворюють вапняки

органи руху - війки

мають черепашку

мають тоненькі псевдоподії

Запитання 13

Інфузорія-туфелька зображена під цифрою

варіанти відповідей

1

2

3

4

5

Запитання 14

Назвіть організм зображений на світлині:

варіанти відповідей

вольвокс

амеба

форамініфера

інфузорія

ночесвітка

евглена

Запитання 15

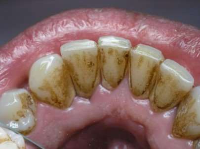
Діяльність яких організмів спричиняє наліт на зубах:

варіанти відповідей

амеби

евглени

бактерії

форамініфери

радіолярії

ночесвітки

Запитання 16

Одноклітинні організми, клітини яких позбавлені ядра, а генетична інформація у вигляді ДНК знаходиться вільно у цитоплазмі називають ...

варіанти відповідей

еукаріоти

прокаріоти

віруси

гриби

Запитання 17

Дизентерія - небезпечна хвороба, збудником якої є:

варіанти відповідей

 дизентерійна амеба

інфузорія туфелька

малярійний плазмодій

амеба протей

Запитання 18

Виберіть органели руху організму, що зображений на малюнку

варіанти відповідей

війки

несправжні ніжки

джгутики

Запитання 19

Процес руху амеби забезпечують:

варіанти відповідей

Корененіжки

Псевдоподії

Ложноніжки

Всі відповіді правильні

Запитання 20

Доповніти речення за змістом.

Мембрана клітини інфузорії формує... для поглинання здобичі та... для вивільнення неперетравлених решток

варіанти відповідей

Глотку

Рот

Війки

Порошицю

Запитання 21

Левко порівнював одноклітинних евкаріотів і звернув увагу на цю органелу. У амеби та евглени вона куляста, а у інфузорії до кульки додаються канали. Її функції аналогічні нашим ниркам. Про яку органелу йдеться?

варіанти відповідей

Скоротлива вакуоля

Ядро

Травна вакуоля

Відповідь відсутня

Запитання 22

Чому більшість одноклітинних мешкають в прісних водоймах, даже солона вода має більшу густину, що полегшує рух (на морі дитина швидше навчиться плавати, ніж у річці)

варіанти відповідей

Одноклітинні не плавають в товщі води, а утримуються на плівці поверхневого натягу. Мембрана пропускає солону воду і солі заважають процесам життєдіяльності

Прісна вода корисніша. У морі багато ворогів

В прісних водоймах не буває штормів

Прісні водойми різноманітніші

Запитання 23

Одноклітинні організми володіють різними формами гетеротрофного живлення. Які особливості структури їхніх клітин забезпечують адаптації до полювання?

варіанти відповідей

Еластична мембрана

Використовують органели руху

Ловлять здобич ротом

Мають травні вакуолі

Запитання 24

Вчені сперечались щодо складності організації одноклітинних евкаріотів, розташовуючи їх від простіших до складніших. Хто завершить список?

варіанти відповідей

Амеба

Інфузорія

Евглена

Запитання 25

Війки - це органи...

варіанти відповідей

дотику

розмноження

руху

видалення надлишку води

Запитання 26

Оберіть усі хвороботворні організми:

варіанти відповідей

молочнокислі бактерії

стрептоміцети

паличка Коха

залізобактерії

кишечна паличка

ВІЛ

коронавірус

сіркобактерії

Створюйте онлайн-тести
для контролю знань і залучення учнів
до активної роботи у класі та вдома

Створити тест